Хронические миелопролиферативные заболевания — группа злокачественных гематологических патологий, происходящих из одной мутировавшей клетки, которая является предшественницей гемопоэза. Характеризуются пролиферацией в области костного мозга.
Во всех случаях отмечается клональная эволюция процесса
и стадия бластного криза. К хроническим миелопролиферативным заболеваниям относится миелолейкоз, нейтрофильный и эозинофильный рак крови, сублейкемический миелоз, эритремия и эссенциальная тромбоцитемия.
У всех онкологических заболеваний есть общие характеристики:
● происхождение в кроветворной стволовой клетке;
● перепроизводство клеток крови без существенной дисплазии;
● в зависимости от пораженного уровня дифференциации пролиферируют один или несколько рядов кроветворных клеток;
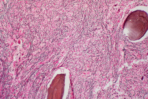
● развитие экстрамедуллярного кроветворения и миелофиброза (в разной степени);
● превращение в острый лейкоз (с разной степенью).
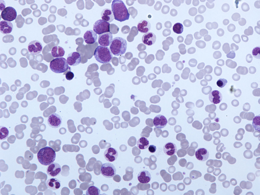
На начальном этапе заболевания опухолевая масса не велика. Присутствует умеренный лейкоцитоз, при котором наблюдается «сдвиг» лейкозной формулы до миелоцитов и увеличение уровня созревающих и зрелых гранулоцитов в костном мозге.

Общие симптомы ХМПЗ включают:
Течение болезни хроническое. Тяжесть заболевания увеличивается со временем (прогрессия). Возможны переходы в бластный криз, в миелодиспластический синдром, а также в острый миелолейкоз. Также наблюдается прогрессирующее увеличение селезенки (более 10 см из-под ребра).

Точные триггеры в настоящее время неизвестны. Считается, что ионизирующее излучение и химические вещества (например, бензол) способствуют возникновению ХМПЗ.
При миелопролиферативных заболеваниях возраст является важным фактором риска. С 70 лет клональное кроветворение увеличивается. В этом случае говорят о клональном кроветворении неопределенного потенциала. Риск заболеть хроническими миелопролиферативными заболеваниями с возрастом увеличивается примерно в 11-13 раз.
Дифференциация важна для терапии. Однако она затруднена на ранних стадиях болезни, и четкое назначение часто невозможно. При всех заболеваниях может затруднить дифференциальную диагностику стойкий тромбоцитоз. При сборе анамнеза следует обратить внимание на наличие вышеуказанных симптомов. В костном мозге может произойти экстрамедуллярное кроветворение. Это может проявляться как спленомегалия и/или гепатомегалия при физикальном осмотре. С помощью гематологических, молекулярно-генетических, цитологических и гистологических исследований можно добиться правильной классификации. Диагностика ХМПЗ включает:
При хроническом миелоидном лейкозе наблюдается симптоматическая, хроническая форма течения (медиана: 3-5 лет). За этим следует акселерированная фаза, переходящая в конечном итоге в бластный криз, картина которого аналогична картине острого лейкоза. Определяется периодом выживаемости от нескольких месяцев до 1 года.
При хронических миелопролиферативных неоплазиях среднее время выживания составляет при адекватном лечении около 19 лет. Без лечения, примерно 1,5 года. При этом есть риск возникновения артериальных и венозных тромбоэмболий (до 40% случаев). Поздняя стадия заболевания характеризуется снижением эритроцитов, что сопровождается соответствующими изменениями костного мозга и усилением спленомегалии.
Эффективной профилактики ХМПЗ не существует. С помощью трансплантации костного мозга удается излечить только 50-60% больных.
Лечение хронических миелопролиферативных заболеваний в клинике «Хадасса» в Москве проводится всеми видами стандартной цитостатической монохимиотерапии. Результат – уменьшение опухолевой массы до минимально возможного уровня. Для улучшения состояния пациента назначается симптоматическая терапия, включающая коррекцию сердечной недостаточности, болевого синдрома, легочной гипертензии и неврологических проявлений. Для достижения полной длительной ремиссии используются ингибиторы тирозинкиназ.
Опытные онкологи высшей категории московского филиала израильской клиники Hadassah занимаются лечением заболевания хронические миелопролиферативные заболевания не только у московских пациентов, но и жителей других регионов: Санкт-Петербурга, Нижнего Новгорода, Екатеринбурга, Краснодара, Новосибирска и других.
Sokolova M. A. Современные представления о «классических» Ph-негативных хронических миелопролиферативных заболеваниях //Клиническая онкогематология. Фундаментальные исследования и клиническая практика. – 2010. – Т. 3. – №. 3. – С. 235-242.
Цветаева Н. В. и др. Хронические миелопролиферативные заболевания и беременность //Терапевтический архив. – 2006. – Т. 78. – №. 10. – С. 68-72.
Суборцева И. Н., Меликян А. Л. Миелодиспластические/миелопролиферативные заболевания //Онкогематология. – 2016. – №. 4. – С. 8-17.
Керимов А. А. Хронические миелопролиферативные заболевания: современное состояние вопроса //Биомедицина (Баку). – 2014. – №. 3. – С. 3-8.
Мисюрин А. В. Молекулярный патогенез миелопролиферативных заболеваний //Клиническая онкогематология. Фундаментальные исследования и клиническая практика. – 2009. – Т. 2. – №. 3. – С. 211-219.
| Прием (осмотр, консультация) врача-онколога первичный B01.027.001 | B01.027.001 10 000 ₽ |
| Прием (осмотр, консультация) врача-онколога повторный B01.027.002 | B01.027.002 8 500 ₽ |
| Прием (осмотр, консультация) врача-онколога, кандидата медицинских наук, первичный B01.027.001.001 | B01.027.001.001 13 000 ₽ |
| Прием (осмотр, консультация) врача-онколога, кандидата медицинских наук, повторный B01.027.002.001 | B01.027.002.001 11 000 ₽ |
| Прием (осмотр, консультация) врача-онколога, доктора медицинских наук, первичный B01.027.001.002 | B01.027.001.002 16 000 ₽ |
| Прием (осмотр, консультация) врача-онколога, доктора медицинских наук, повторный B01.027.002.002 | B01.027.002.002 14 000 ₽ |
| Прием (осмотр, консультация) врача-онколога, специалиста института онкологии (консультация с составлением плана лечения), первичный B01.027.001.045 | B01.027.001.045 13 000 ₽ |
| Прием (осмотр, консультация) врача-онколога, специалиста института онкологии (консультация с составлением плана лечения), повторный B01.027.002.015 | B01.027.002.015 11 000 ₽ |
| Прием (осмотр, консультация) врача-онколога, профессора института онкологии (консультация с составлением плана лечения), первичный B01.027.001.046 | B01.027.001.046 16 000 ₽ |
| Прием (осмотр, консультация) врача-онколога, профессора института онкологии (консультация с составлением плана лечения), повторный B01.027.002.016 | B01.027.002.016 14 000 ₽ |
| Прием (осмотр консультация) иностранного врача-онколога B01.027.001.150 | B01.027.001.150 60 000 ₽ |
| Прием (осмотр, консультация) врача-онколога, директора института онкологии B01.027.001.076 | B01.027.001.076 21 000 ₽ |
| Удаленная консультация врача-онколога B01.027.001.021 | B01.027.001.021 8 500 ₽ |
| Удаленная консультация врача-онколога, кандидата медицинских наук B01.027.001.023 | B01.027.001.023 11 000 ₽ |
| Удаленная консультация врача-онколога, специалиста института онкологии (консультация с составлением плана лечения) B01.027.001.105 | B01.027.001.105 9 600 ₽ |
| Удаленная консультация врача-онколога, профессора института онкологии (консультация с составлением плана лечения) B01.027.001.103 | B01.027.001.103 14 000 ₽ |
| Удаленная консультация врача-онколога, главного специалиста по онкологии B01.027.001.106 | B01.027.001.106 11 000 ₽ |
| Удаленная консультация врача-онколога, директора института онкологии B01.027.001.077 | B01.027.001.077 21 000 ₽ |
| Онкологический консилиум B01.027.001.051 | B01.027.001.051 27 800 ₽ |
| Междисциплинарный консилиум с участием иностранных специалистов B01.027.001.052 | B01.027.001.052 115 500 ₽ |
| Проведение федерального консилиума B01.027.001.067 | B01.027.001.067 22 900 ₽ |
| Удаленная консультация израильского врача-онколога, заведующего отделением B01.027.001.100 | B01.027.001.100 150 000 ₽ |
| Удаленная консультация израильского врача-онколога B01.027.001.107 | B01.027.001.107 75 000 ₽ |
| Удаленная консультация израильского врача-онколога, ведущего специалиста B01.027.001.101 | B01.027.001.101 100 000 ₽ |
| Удаленная консультация израильского врача-онколога, профессора B01.027.001.102 | B01.027.001.102 200 000 ₽ |
| Тонкоигольная аспирационная биопсия щитовидной или паращитовидной железы под контролем ультразвукового исследования A11.22.001.001.001 | A11.22.001.001.001 8 000 ₽ |
| Спинномозговая пункция A11.23.001 | A11.23.001 16 600 ₽ |
| Уход за венозным портом (промывка порта) A14.12.002.001 | A14.12.002.001 3 900 ₽ |
| Уход за венозным катетером системы PICC-line A14.12.001.005 | A14.12.001.005 2 900 ₽ |
| Наложение малой асептической повязки A15.01.001.055 | A15.01.001.055 1 100 ₽ |
| Наложение большой асептической повязки A15.01.001.056 | A15.01.001.056 2 000 ₽ |
| Трепан-биопсия костного мозга крыла подвздошной кости A11.03.001.001.001 | A11.03.001.001.001 25 500 ₽ |
| Аспирационная биопсия костного мозга A11.05.002.004 | A11.05.002.004 12 800 ₽ |
| Гемоэксфузия A18.05.009.001 | A18.05.009.001 6 500 ₽ |
| Установка радиометок под контролем компьютерной томографии (без стоимости радиометок) 1-3 шт. A07.30.021.001 | A07.30.021.001 17 900 ₽ |
| Трепанобиопсия костей под контролем компьютерной томографии A11.03.001.003.002 | A11.03.001.003.002 48 600 ₽ |
| Диагностическая пункция жидкостных скоплений/кистозных образований (любой локализации) с забором материала для цитологического исследования A11.30.024.001.002 | A11.30.024.001.002 15 400 ₽ |
| Дренирование плевральной полости A16.09.004 | A16.09.004 12 800 ₽ |
| Резекция нижней челюсти A16.03.081 | A16.03.081 840 000 ₽ |
| Резекция ротоглотки комбинированная A16.07.081.001 | A16.07.081.001 1890 000 ₽ |
| Пластика дефекта полости рта, глотки перемещенным лоскутом A16.30.075.008 | A16.30.075.008 1260 000 ₽ |
| Установка пункционной трахеостомы под видеоэндоскопическим контролем A16.08.003.001 | A16.08.003.001 472 500 ₽ |
| Лимфаденэктомия шейная расширенная A16.06.006.002 | A16.06.006.002 840 000 ₽ |
| Лечение с использованием препарата Карбоплатин-Тева 150 мг (1 фл.) A11.12.003.001.126 | A11.12.003.001.126 2 000 ₽ |
| Лечение с использованием препарата Карбоплатин-Тева 450 мг (1 фл.) A11.12.003.001.127 | A11.12.003.001.127 4 600 ₽ |