Рак двенадцатиперстной кишки (ДПК) – онкологическое новообразование, которое локализуется в начальном отделе толстого кишечника. У молодых людей обнаруживается достаточно редко. Развивается преимущественно из-за метастазирования рака кишечника и желудка. Первичные новообразования выявляются крайне редко и встречаются реже, чем в 1% случаев.

Онкологические новообразования в области ДПК развиваются на фоне следующих факторов:
Среди причин рака ДПК также следует выделить вирусные инфекции, сахарный диабет, а также хронический панкреатит. Значение также имеет наследственный фактор.

Поставить диагноз на начальной стадии прогрессирования заболевания сложно. На начальных стадиях развития злокачественного процесс в области двенадцатиперстной кишки дискомфорт отсутствует. Узел только начинает разрастаться, затрагивая ближайшие отделы внутреннего органа. Заболевание диагностируется случайным образом при прохождении медосмотра.
Симптомы рака двенадцатиперстной кишки появляются с увеличением онкологического узла и выражаются в следующем:
Из-за увеличения опухоли в размерах отмечается сужение дуоденальных протоков, что сопровождается проникновением желчной жидкости в систему пищеварения. Это сопровождается тупой болью справа в подложечной области. Также не исключено развитие желтухи.
Постепенно в поджелудочной железе развивается воспалительный процесс, что сопровождается болью в желудке, тошнотой и рвотными позывами. Также присутствует метеоризм и чрезмерное газообразование. Имеет место отрыжка кислым содержимым.
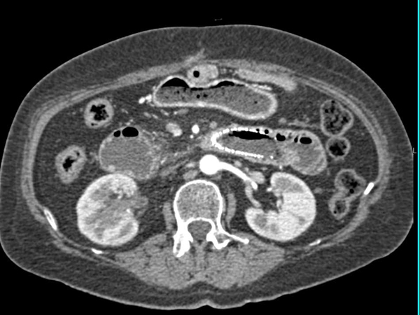
Для выявления заболевания доктор собирает анамнез и проводит осмотр слизистых оболочек и кожи. Основные лабораторные исследования, которые назначаются для диагностики рака ДПК:
В клинике «Хадасса» в Москве проводится эффективное лечение рака двенадцатиперстной кишки. В медицинском центре также проводится лечение возможных осложнений, и принимаются меры для предотвращения рецидивов.
Основные методы лечения рака ДПК:
В качестве дополнительных мер показано таргетная и иммунологическая терапия. Цены на лечение опухоли двенадцатиперстной кишки зависят от стадии прогрессирования заболевания, самочувствия больного, наличия/отсутствия осложнений.
При прохождении ежегодных профилактических осмотров опухоль удается выявить на начальных этапах прогрессирования. При полном излечении онкологического заболевания выживаемость составляет 90-98%. В этом случае прогноз для жизни и здоровья благоприятный. При своевременно проведенном лечении выживаемость составляет более 5 лет в 70-90% случаев. При раке ДПК 3 стадии выживаемость не превышает 40-70%. В этом случае пациент получает группу инвалидности.
Опытные онкологи высшей категории московского филиала израильской клиники Hadassah занимаются лечением заболевания рак двенадцатиперстной кишки не только у московских пациентов, но и жителей других регионов: Санкт-Петербурга, Нижнего Новгорода, Екатеринбурга, Краснодара, Новосибирска и других.
Дайчман Д., Генслицкая Е. Периампулярный рак двенадцатиперстной кишки //Казанский медицинский журнал. – 2009. – Т. 90. – №. 3. – С. 375-379.
Патютко Ю. И. и др. Рак большого сосочка двенадцатиперстной кишки: лечение и прогноз //Анналы хирургической гепатологии. – 2017. – Т. 21. – №. 4. – С. 84-92.
Коваленко В. Л. и др. Наблюдение первичного рака двенадцатиперстной кишки, осложнённого анемией тяжелой степени //Вестник хирургии имени ИИ Грекова. – 2011. – Т. 170. – №. 1. – С. 78-81.
Ершов В. В., Рябков М. Г., Саратов М. Б. Двухэтапное лечение осложненного рака двенадцатиперстной кишки //Современные технологии в медицине. – 2012. – №. 2. – С. 146-147.
Хакимов Г. А., Джуманиезов Х. И., Хакимова Г. Г. Наблюдение первичного рака двенадцатиперстной кишки. Случай из практики //Фарматека. – 2020. – Т. 27. – №. 11. – С. 59-63.
| Прием (осмотр, консультация) врача-онколога первичный B01.027.001 | B01.027.001 10 000 ₽ |
| Прием (осмотр, консультация) врача-онколога повторный B01.027.002 | B01.027.002 8 500 ₽ |
| Прием (осмотр, консультация) врача-онколога, кандидата медицинских наук, первичный B01.027.001.001 | B01.027.001.001 13 000 ₽ |
| Прием (осмотр, консультация) врача-онколога, кандидата медицинских наук, повторный B01.027.002.001 | B01.027.002.001 11 000 ₽ |
| Прием (осмотр, консультация) врача-онколога, доктора медицинских наук, первичный B01.027.001.002 | B01.027.001.002 16 000 ₽ |
| Прием (осмотр, консультация) врача-онколога, доктора медицинских наук, повторный B01.027.002.002 | B01.027.002.002 14 000 ₽ |
| Прием (осмотр, консультация) врача-онколога, специалиста института онкологии (консультация с составлением плана лечения), первичный B01.027.001.045 | B01.027.001.045 13 000 ₽ |
| Прием (осмотр, консультация) врача-онколога, специалиста института онкологии (консультация с составлением плана лечения), повторный B01.027.002.015 | B01.027.002.015 11 000 ₽ |
| Прием (осмотр, консультация) врача-онколога, профессора института онкологии (консультация с составлением плана лечения), первичный B01.027.001.046 | B01.027.001.046 16 000 ₽ |
| Прием (осмотр, консультация) врача-онколога, профессора института онкологии (консультация с составлением плана лечения), повторный B01.027.002.016 | B01.027.002.016 14 000 ₽ |
| Прием (осмотр консультация) иностранного врача-онколога B01.027.001.150 | B01.027.001.150 60 000 ₽ |
| Прием (осмотр, консультация) врача-онколога, директора института онкологии B01.027.001.076 | B01.027.001.076 21 000 ₽ |
| Удаленная консультация врача-онколога B01.027.001.021 | B01.027.001.021 8 500 ₽ |
| Удаленная консультация врача-онколога, кандидата медицинских наук B01.027.001.023 | B01.027.001.023 11 000 ₽ |
| Удаленная консультация врача-онколога, специалиста института онкологии (консультация с составлением плана лечения) B01.027.001.105 | B01.027.001.105 9 600 ₽ |
| Удаленная консультация врача-онколога, профессора института онкологии (консультация с составлением плана лечения) B01.027.001.103 | B01.027.001.103 14 000 ₽ |
| Удаленная консультация врача-онколога, главного специалиста по онкологии B01.027.001.106 | B01.027.001.106 11 000 ₽ |
| Удаленная консультация врача-онколога, директора института онкологии B01.027.001.077 | B01.027.001.077 21 000 ₽ |
| Онкологический консилиум B01.027.001.051 | B01.027.001.051 27 800 ₽ |
| Междисциплинарный консилиум с участием иностранных специалистов B01.027.001.052 | B01.027.001.052 115 500 ₽ |
| Проведение федерального консилиума B01.027.001.067 | B01.027.001.067 22 900 ₽ |
| Удаленная консультация израильского врача-онколога, заведующего отделением B01.027.001.100 | B01.027.001.100 150 000 ₽ |
| Удаленная консультация израильского врача-онколога B01.027.001.107 | B01.027.001.107 75 000 ₽ |
| Удаленная консультация израильского врача-онколога, ведущего специалиста B01.027.001.101 | B01.027.001.101 100 000 ₽ |
| Удаленная консультация израильского врача-онколога, профессора B01.027.001.102 | B01.027.001.102 200 000 ₽ |
| Тонкоигольная аспирационная биопсия щитовидной или паращитовидной железы под контролем ультразвукового исследования A11.22.001.001.001 | A11.22.001.001.001 8 000 ₽ |
| Спинномозговая пункция A11.23.001 | A11.23.001 16 600 ₽ |
| Уход за венозным портом (промывка порта) A14.12.002.001 | A14.12.002.001 3 900 ₽ |
| Уход за венозным катетером системы PICC-line A14.12.001.005 | A14.12.001.005 2 900 ₽ |
| Наложение малой асептической повязки A15.01.001.055 | A15.01.001.055 1 100 ₽ |
| Наложение большой асептической повязки A15.01.001.056 | A15.01.001.056 2 000 ₽ |
| Трепан-биопсия костного мозга крыла подвздошной кости A11.03.001.001.001 | A11.03.001.001.001 25 500 ₽ |
| Аспирационная биопсия костного мозга A11.05.002.004 | A11.05.002.004 12 800 ₽ |
| Гемоэксфузия A18.05.009.001 | A18.05.009.001 6 500 ₽ |
| Установка радиометок под контролем компьютерной томографии (без стоимости радиометок) 1-3 шт. A07.30.021.001 | A07.30.021.001 17 900 ₽ |
| Трепанобиопсия костей под контролем компьютерной томографии A11.03.001.003.002 | A11.03.001.003.002 48 600 ₽ |
| Диагностическая пункция жидкостных скоплений/кистозных образований (любой локализации) с забором материала для цитологического исследования A11.30.024.001.002 | A11.30.024.001.002 15 400 ₽ |
| Дренирование плевральной полости A16.09.004 | A16.09.004 12 800 ₽ |
| Резекция нижней челюсти A16.03.081 | A16.03.081 840 000 ₽ |
| Резекция ротоглотки комбинированная A16.07.081.001 | A16.07.081.001 1890 000 ₽ |
| Пластика дефекта полости рта, глотки перемещенным лоскутом A16.30.075.008 | A16.30.075.008 1260 000 ₽ |
| Установка пункционной трахеостомы под видеоэндоскопическим контролем A16.08.003.001 | A16.08.003.001 472 500 ₽ |
| Лимфаденэктомия шейная расширенная A16.06.006.002 | A16.06.006.002 840 000 ₽ |
| Лечение с использованием препарата Карбоплатин-Тева 150 мг (1 фл.) A11.12.003.001.126 | A11.12.003.001.126 2 000 ₽ |
| Лечение с использованием препарата Карбоплатин-Тева 450 мг (1 фл.) A11.12.003.001.127 | A11.12.003.001.127 4 600 ₽ |